اطلاعات

مقایسه تصویربرداری داخل دهانی و خارج دهانی: کدام بهتر است؟

مقایسه تصویربرداری داخل دهانی و تصویربرداری خارج دهانی: کدام بهتر است؟ بخوانید درباره مزایا و معایب هر کدام و انتخاب روش مناسب برای شما.

تصویربرداری داخل دهانی یکی از مهم‌ترین ابزارها در تشخیص مشکلات دندان و دهان است که در کنار تصویربرداری خارج دهانی، امکانات فوق‌العاده‌ای را برای متخصصان فراهم می‌کند. در این مقاله، به بررسی دقیق این دو روش تصویربرداری، تفاوت‌ها، کاربردها و مزایای هر کدام می‌پردازیم. همچنین پاسخ‌هایی به پرسش‌های متداول شما ارائه خواهیم داد که دانستن آن‌ها برای انتخاب بهترین روش تصویربرداری ضروری است.

آیا می‌خواهید بدانید کدام روش تصویربرداری برای شما بهتر است؟ یا مثلاً تصویربرداری پانورامیک چه کاربردهایی دارد؟ تمام این موارد در ادامه بررسی خواهد شد. همراه ما بمانید تا با اطلاعات جامع، نیازهای خود را بهتر بشناسید.

سوالاتی که پاسخ آن‌ها را در این مقاله خواهید یافت:

  • تصویربرداری داخل دهانی برای چه مشکلاتی استفاده می‌شود؟
  • مزایای تصویربرداری خارج دهانی چیست؟
  • تفاوت اصلی بین تصویربرداری داخل دهانی و خارج دهانی چیست؟
  • تصویربرداری پانورامیک جزء کدام دسته تصویربرداری است؟
  • چه زمانی باید از تصویربرداری خارج دهانی استفاده کرد؟

برای یافتن پاسخ این سوالات و کسب اطلاعات دقیق‌تر، تمام مطلب را مطالعه کنید!

تصویربرداری داخل دهانی و خارج دهانی به عنوان دو روش اصلی تصویربرداری دندانپزشکی هر کدام کاربردها و مزایای متفاوتی دارند. مطالعات اخیر تلاش کرده‌اند تا قابلیت‌ها و محدودیت‌های این دو روش را مقایسه کنند. مطالعات نشان داده‌اند که دستگاه‌های اسکن داخل دهانی برای تصویربرداری سه‌بعدی از ساختارهایی مانند بافت لثه و فرآیند آلوئولار، دقت و کارایی بالایی دارند و این دقت در اسکن سطوح کوچک‌تر مانند یک دندان بیشتر است (لینک). همچنین، سیستم‌های نوآورانه‌ای مانند ترکیب تصویربرداری نوری و فلورسانس خودکار توانایی ارزیابی عمقی بافت‌های دهانی را افزایش داده‌اند (لینک).

از سوی دیگر، تصویربرداری خارج دهانی با اسکن‌های کامل قوس دندانی دقت بیشتری را نسبت به شرایط داخل دهانی نشان داده است، اما در ارزیابی بخش‌های کوچک‌تر ممکن است دقت کمتری داشته باشد (لینک). در شرایط بالینی، تغییرات محیط دهان می‌تواند بر دقت اسکنرهای داخل دهانی تأثیر بگذارد، اما استفاده از روش‌های اصلاح خطا می‌تواند دقت آن‌ها را بهبود بخشد. به طور کلی، اسکنرهای داخل دهانی برای کاربردهای دقیق‌تر و کوچک‌تر مناسب‌تر هستند، در حالی که اسکن‌های خارج دهانی برای ثبت کامل‌تر قوس‌ها و ساختارهای کلی مناسب‌ترند.

این یافته‌ها نشان می‌دهد که انتخاب میان این دو روش باید بر اساس نیازهای خاص بالینی صورت گیرد. در کاربردهایی که به دقت بالا و جزئیات کوچک نیاز است، روش داخل دهانی ترجیح داده می‌شود، در حالی که برای ارزیابی‌های کلی‌تر، اسکن خارج دهانی مناسب‌تر است.

تصویربرداری داخل دهانی یا خارج دهانی: کدام مناسب‌تر است؟

تصویربرداری داخل دهانی و خارج دهانی دو روش اصلی در رادیولوژی فک و صورت هستند که هرکدام کاربردهای خاص خود را دارند. در تصویربرداری داخل دهانی، سنسور یا فیلم داخل دهان بیمار قرار می‌گیرد و تصاویری با دقت بالا از دندان‌ها و بافت‌های اطراف گرفته می‌شود. این روش برای بررسی پوسیدگی‌های جزئی، مشکلات ریشه‌ای و ارزیابی دقیق ترمیم‌های دندانی بسیار مؤثر است. از طرف دیگر، در تصویربرداری خارج دهانی، دستگاه تصویربرداری در خارج از دهان بیمار قرار دارد و تصاویر کلی از فک، صورت و ساختارهای اطراف تهیه می‌شود. این روش برای تشخیص مشکلات بزرگ‌تر مانند ناهنجاری‌های فک، تومورها یا بیماری‌های سینوسی کاربرد دارد.

مقایسه این دو روش به نوع نیاز بیمار بستگی دارد. اگر دقت بالا و جزئیات کوچک مدنظر باشد، تصویربرداری داخل دهانی انتخاب بهتری است. اما برای بررسی مشکلات گسترده یا ساختارهای خارج از دندان‌ها، تصویربرداری خارج دهانی توصیه می‌شود. هر دو روش دارای مزایا و محدودیت‌های خاصی هستند که انتخاب بین آن‌ها باید بر اساس مشورت با متخصص انجام شود.

مقایسه تصویربرداری داخل دهانی و تصویربرداری خارج دهانی: کدام بهتر است؟ بخوانید درباره مزایا و معایب هر کدام و انتخاب روش مناسب برای شما.

مقایسه تصویربرداری داخل دهانی و تصویربرداری خارج دهانی: کدام بهتر است؟ بخوانید درباره مزایا و معایب هر کدام و انتخاب روش مناسب برای شما.

کاربردهای تصویربرداری داخل دهانی در بررسی مشکلات دندان

تصویربرداری داخل دهانی یکی از رایج‌ترین و پرکاربردترین روش‌ها در دندانپزشکی است. این روش به دلیل دقت بالا و جزئیات دقیق، برای تشخیص بسیاری از مشکلات دندان و لثه مورد استفاده قرار می‌گیرد. یکی از کاربردهای اصلی آن، تشخیص پوسیدگی‌های بین دندانی است که با معاینه عادی قابل مشاهده نیستند. همچنین، این روش برای بررسی وضعیت ریشه دندان‌ها، تشخیص عفونت‌های دندانی و ارزیابی ترمیم‌های انجام شده استفاده می‌شود.

در تصویربرداری داخل دهانی، تصاویر به صورت موضعی گرفته می‌شوند که به دندانپزشک کمک می‌کند تا ناحیه مورد نظر را با دقت بیشتری بررسی کند. به همین دلیل، این روش برای درمان‌های پیچیده‌تر مانند عصب‌کشی یا کاشت ایمپلنت بسیار مؤثر است. علاوه بر این، این نوع تصویربرداری نقش مهمی در بررسی مشکلات لثه و پیشگیری از بیماری‌های پیشرفته‌تر دارد.

تصویربرداری خارج دهانی: مزایا و معایب در تشخیص بیماری‌ها

تصویربرداری خارج دهانی به دلیل توانایی ارائه تصاویر گسترده‌تر از ساختارهای فک و صورت، در بسیاری از موارد ضروری است. این روش بیشتر برای بیمارانی که مشکلات گسترده‌تری مانند ناهنجاری‌های فک، شکستگی‌های استخوانی یا بررسی‌های قبل از جراحی دارند، استفاده می‌شود. مزیت اصلی این روش، دید جامع از ساختارهای دندانی و غیر دندانی است که امکان تشخیص بهتر و برنامه‌ریزی درمان‌های پیچیده‌تر را فراهم می‌کند.

از معایب این روش می‌توان به دقت کمتر در جزئیات دندان‌ها نسبت به تصویربرداری داخل دهانی اشاره کرد. همچنین، هزینه و زمان مورد نیاز برای تهیه تصاویر خارج دهانی معمولاً بیشتر است. با این حال، این روش به دلیل امکان مشاهده کل فک و صورت، همچنان جایگاه مهمی در رادیولوژی فک و صورت دارد.

مقایسه تصویربرداری داخل دهانی و خارج دهانی در تشخیص دقیق‌تر

برای مقایسه تصویربرداری داخل دهانی و تصویربرداری خارج دهانی باید به نیازهای تشخیصی توجه کرد. تصویربرداری داخل دهانی برای تشخیص مشکلات کوچک مانند پوسیدگی‌ها یا آسیب‌های موضعی بهترین گزینه است. از سوی دیگر، تصویربرداری خارج دهانی به دلیل قابلیت ارائه تصاویر گسترده از ساختارهای فک و صورت، برای تشخیص مشکلات گسترده‌تر یا بیماری‌های سینوسی مناسب‌تر است.

با این حال، در بسیاری از موارد، استفاده ترکیبی از هر دو روش می‌تواند به تشخیص دقیق‌تر کمک کند. به عنوان مثال، در بیمارانی که نیاز به جراحی فک دارند، تصاویر داخل دهانی برای بررسی جزئیات دندان‌ها و تصاویر خارج دهانی برای برنامه‌ریزی جراحی ضروری هستند. بنابراین، انتخاب بهترین روش بستگی به نوع بیماری و اهداف درمانی دارد.

نقش تصویربرداری خارج دهانی در رادیولوژی فک و صورت

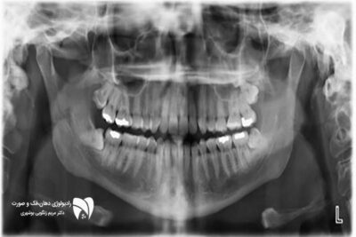
در رادیولوژی فک و صورت، تصویربرداری خارج دهانی یکی از ابزارهای اصلی برای بررسی مشکلات پیچیده است. این روش به دندانپزشکان و جراحان فک کمک می‌کند تا نمای کاملی از فک‌ها، سینوس‌ها و مفاصل فک تهیه کنند. تصاویر پانورامیک، سفالومتریک و CBCT از جمله روش‌های تصویربرداری خارج دهانی هستند که هرکدام کاربردهای خاصی دارند.

یکی از مزایای این روش، امکان شناسایی بیماری‌های پنهان یا مشکلات ساختاری است که با روش‌های داخل دهانی قابل مشاهده نیستند. برای مثال، تومورها، کیست‌ها یا شکستگی‌های پیچیده در تصاویر خارج دهانی بهتر تشخیص داده می‌شوند. به همین دلیل، این روش در تشخیص و درمان مشکلات فک و صورت جایگاه ویژه‌ای دارد.

انتخاب بین تصویربرداری داخل دهانی و خارج دهانی: نکات کلیدی

برای انتخاب بین تصویربرداری داخل دهانی و تصویربرداری خارج دهانی باید به عوامل متعددی توجه کرد. نوع مشکل، میزان دقت مورد نیاز و هدف از تصویربرداری از مهم‌ترین عوامل هستند. برای مشکلات دندانی جزئی، تصویربرداری داخل دهانی به دلیل دقت بالا و هزینه کمتر مناسب است. اما برای بیماری‌های گسترده‌تر یا برنامه‌ریزی جراحی، تصویربرداری خارج دهانی انتخاب بهتری خواهد بود.

در نهایت، مشاوره با یک متخصص رادیولوژی فک و صورت می‌تواند به بیمار کمک کند تا بهترین تصمیم را بگیرد. انتخاب درست روش تصویربرداری نه تنها به تشخیص دقیق کمک می‌کند، بلکه مسیر درمان را نیز بهینه می‌سازد.

سوالات پرتکرار مراجعین در مرکز رادیولوژی در خصوص تصویربرداری داخل دهانی

تصویربرداری داخل دهانی برای چه مشکلاتی استفاده می‌شود؟

تصویربرداری داخل دهانی برای تشخیص پوسیدگی‌های جزئی، بررسی وضعیت ریشه دندان‌ها، تشخیص عفونت‌های دندانی، و ارزیابی دقیق ترمیم‌های انجام‌شده استفاده می‌شود. این روش به دلیل دقت بالا، برای مشکلات موضعی و جزئی مناسب است و تصاویر بسیار دقیقی از دندان‌ها و بافت‌های اطراف ارائه می‌دهد.

مزایای تصویربرداری خارج دهانی چیست؟

تصویربرداری خارج دهانی می‌تواند نمایی گسترده از فک، صورت، سینوس‌ها و مفاصل فک ارائه دهد. این روش برای تشخیص ناهنجاری‌های ساختاری، بیماری‌های سینوسی، تومورها و شکستگی‌های فک بسیار مناسب است. همچنین، تصاویر پانورامیک و CBCT که در این روش استفاده می‌شوند، به تشخیص و برنامه‌ریزی درمان‌های پیچیده مانند جراحی فک کمک می‌کنند.

تفاوت اصلی بین تصویربرداری داخل دهانی و خارج دهانی چیست؟

تفاوت اصلی این دو روش در محل قرارگیری دستگاه تصویربرداری و نوع مشکلاتی است که تشخیص می‌دهند. در تصویربرداری داخل دهانی، سنسور یا فیلم داخل دهان بیمار قرار می‌گیرد و تصاویری دقیق از دندان‌ها و بافت‌های اطراف گرفته می‌شود. اما در تصویربرداری خارج دهانی، دستگاه در خارج از دهان قرار دارد و تصاویر کلی از ساختارهای فک و صورت تهیه می‌شود.

تصویربرداری پانورامیک جزء کدام دسته تصویربرداری است؟

تصویربرداری پانورامیک یکی از انواع تصویربرداری خارج دهانی است. این روش امکان مشاهده کل فک بالا و پایین، دندان‌ها، مفاصل فک و سینوس‌ها را در یک تصویر فراهم می‌کند. پانورامیک برای بررسی ناهنجاری‌های ساختاری، دندان‌های نهفته و تومورها بسیار مفید است.

چه زمانی باید از تصویربرداری خارج دهانی استفاده کرد؟

تصویربرداری خارج دهانی زمانی توصیه می‌شود که نیاز به بررسی مشکلات گسترده‌تر مانند ناهنجاری‌های فک، شکستگی‌ها، تومورها، یا مشکلات سینوسی وجود داشته باشد. همچنین، در مواردی که جراحی‌های فک یا ایمپلنت دندان برنامه‌ریزی می‌شود، این روش انتخاب مناسبی است.

انتخاب بهترین روش تصویربرداری با مشاوره دکتر بوشهری

تصویربرداری داخل دهانی و خارج دهانی هر دو نقش مهمی در تشخیص و درمان مشکلات دهان و فک ایفا می‌کنند. این مقاله به شما کمک کرد تا با کاربردها و مزایای هر روش آشنا شوید و تصمیمی آگاهانه برای سلامت خود بگیرید.

اگر به دنبال خدماتی دقیق و حرفه‌ای در زمینه تصویربرداری دهان و فک هستید، پیشنهاد می‌کنیم از تخصص دکتر بوشهری استفاده کنید. دکتر بوشهری، متخصص رادیولوژی دهان، فک و صورت، با بهره‌گیری از تجهیزات پیشرفته و تجربه‌ای قابل‌اعتماد، بهترین خدمات را در این حوزه ارائه می‌دهد. شما می‌توانید از مرکز تخصصی ایشان وقت مشاوره دریافت کنید و از راهنمایی‌های کاربردی برای نیازهای خود بهره‌مند شوید.

همچنین، اگر سوالی در مورد تصویربرداری یا نیاز به اطلاعات بیشتری دارید، می‌توانید سوالات خود را در قسمت نظرات بنویسید. دکتر بوشهری با دقت به سوالات شما پاسخ خواهد داد و به نگرانی‌های شما رسیدگی می‌کند.

Back to list

Related Posts

دیدگاهتان را بنویسید

نشانی ایمیل شما منتشر نخواهد شد. بخش‌های موردنیاز علامت‌گذاری شده‌اند *