ارزیابی وضعیت دندانهای ترمیم شده از جمله موضوعات حیاتی در دندانپزشکی است که به بررسی سلامت دندانهای ترمیم شده و شناسایی مشکلات احتمالی آنها میپردازد. در این مطلب، شما با اهمیت ارزیابی وضعیت دندانهای ترمیم شده و نقش رادیوگرافی بایت وینگ در این فرآیند آشنا خواهید شد. همچنین به سوالات مهمی پاسخ خواهیم داد که دانستن آنها برای حفظ سلامت دهان و دندان شما ضروری است.
سوالات مطرح شده:
- ارزیابی وضعیت دندانهای ترمیم شده چگونه انجام میشود؟
- چرا باید وضعیت دندانهای ترمیم شده را ارزیابی کنیم؟
- رادیوگرافی بایت وینگ چه مزایایی دارد؟
- علائم هشداردهنده در وضعیت دندانهای ترمیم شده چیست؟
- چه مدت بعد از ترمیم دندان باید ارزیابی وضعیت آن انجام شود؟
با خواندن این مطلب، میتوانید به تمامی سوالات خود پاسخ دهید و اطلاعات مفیدی در خصوص ارزیابی وضعیت دندانهای ترمیم شده به دست آورید.
ارزیابی وضعیت دندانهای ترمیم شده با رادیوگرافی بایت وینگ
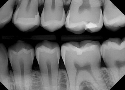
رادیوگرافی بایت وینگ یکی از ابزارهای حیاتی در دندانپزشکی برای ارزیابی وضعیت دندانهای ترمیم شده است. این نوع رادیوگرافی به دندانپزشکان کمک میکند تا با دقت بالا وضعیت ترمیمها را بررسی کرده و نقاط ضعف و مشکلات احتمالی را شناسایی کنند. با قرار دادن یک فیلم رادیوگرافی در دهان بیمار و گرفتن تصویر، دندانپزشک میتواند به راحتی سطح دندانهای ترمیم شده و نواحی اطراف آنها را مشاهده کند. این تصاویر نه تنها به تشخیص زودهنگام مشکلات کمک میکنند، بلکه به ارزیابی کیفیت ترمیمها نیز اهمیت میدهند. مطالعات نشان دادهاند که رادیوگرافی بایت وینگ به دلیل دقت بالا و توانایی نمایش جزئیات دقیق، بهویژه در نواحی خلفی دندانها، یک ابزار کلیدی برای تشخیص بیماریهای پریودنتال و تحلیل استخوان محسوب میشود.
در ارزیابی وضعیت دندانهای ترمیم شده، رادیوگرافی بایت وینگ قادر است نشانههای پوسیدگی جدید، عفونت یا شکستگیهای ممکن در ترمیمها را نمایان کند. این اطلاعات برای تعیین نیاز به درمانهای اضافی یا بازنگری در ترمیمهای قبلی بسیار حیاتی است. با توجه به اینکه برخی از مشکلات ممکن است در ابتدا قابل مشاهده نباشند، استفاده از این روش به دندانپزشکان این امکان را میدهد که از طریق مشاهده دقیق، بهترین تصمیمات درمانی را اتخاذ کنند.

ارزیابی وضعیت دندانهای ترمیم شده با رادیوگرافی بایت وینگ، اهمیت و مزایای ارزیابی وضعیت دندان های ترمیم شده را کشف کنید و سلامت دندانهای خود را حفظ کنید.
چرا ارزیابی وضعیت دندانهای ترمیم شده ضروری است؟
ارزیابی وضعیت دندانهای ترمیم شده به دلایل متعددی ضروری است. نخستین دلیل این است که دندان های ترمیم شده میتوانند به مرور زمان دچار آسیب یا پوسیدگی شوند. این آسیبها ممکن است ناشی از عوامل مختلفی مانند عدم رعایت بهداشت دهان و دندان، فشارهای مکانیکی ناشی از جویدن یا حتی مواد غذایی حاوی اسید باشند. به همین دلیل، نظارت دورهای بر وضعیت این دندانها از اهمیت ویژهای برخوردار است.
علاوه بر این، ارزیابی منظم وضعیت دندانهای ترمیم شده میتواند به تشخیص زودهنگام مشکلات کمک کند. با انجام این ارزیابیها، دندانپزشک میتواند اقداماتی را برای جلوگیری از تشدید مشکلات انجام دهد، که این کار میتواند به کاهش هزینههای درمان و حفظ سلامت دهان و دندان بیمار کمک کند. در نهایت، این ارزیابیها به دندانپزشک اطلاعات ارزشمندی در مورد عمر مفید ترمیمها و نیاز به تعویض یا تعمیر آنها ارائه میدهد.

ارزیابی وضعیت دندانهای ترمیم شده با رادیوگرافی بایت وینگ دارای تصاویر دقیق و واضح است
مزایای ارزیابی وضعیت دندانهای ترمیم شده با رادیوگرافی بایت وینگ
مزایای ارزیابی وضعیت دندانهای ترمیم شده با رادیوگرافی بایت وینگ بسیار چشمگیر است و این روش به عنوان یک ابزار کلیدی در دندانپزشکی به شمار میآید. یکی از مهمترین مزایا، توانایی این نوع رادیوگرافی در ارائه تصاویری واضح و دقیق از دندانهای ترمیم شده است. با استفاده از این تصاویر، دندانپزشکان میتوانند تغییرات کوچک و عیوب موجود را شناسایی کنند که ممکن است در معاینات بالینی عادی قابل مشاهده نباشند. این امکان باعث میشود تا درمانهای لازم به موقع و قبل از بروز مشکلات جدیتر انجام شود.
علاوه بر این، رادیوگرافی بایت وینگ به دندانپزشکان اجازه میدهد تا وضعیت بافتهای نرم اطراف دندانها، از جمله لثهها را نیز ارزیابی کنند. این ویژگی برای شناسایی بیماریهای لثه و مشکلات مربوط به استخوانهای فک بسیار حیاتی است. با شناسایی سریع این مشکلات، دندانپزشک میتواند اقدامات پیشگیرانه مناسبی را پیشنهاد دهد که به حفظ سلامت دندانها و لثهها کمک میکند. مزیت دیگر این روش، راحتی و سرعت آن برای بیماران است. رادیوگرافی بایت وینگ یک روش غیرتهاجمی و سریع است که به بیماران این امکان را میدهد تا بدون ایجاد ناراحتی یا درد، وضعیت دندانهای خود را ارزیابی کنند. این ویژگی باعث میشود بیماران با آرامش بیشتری تحت درمان قرار گیرند و تمایل بیشتری برای انجام معاینات منظم داشته باشند.
ارزیابی وضعیت دندانهای ترمیم شده با رادیوگرافی بایت وینگ نه تنها به پیشگیری از مشکلات آینده کمک میکند، بلکه باعث افزایش اعتماد به نفس بیماران در مراقبت از دندانهایشان میشود. با توجه به اهمیت حفظ سلامت دهان و دندان، این روش به عنوان یک ابزار موثر در دندانپزشکی مدرن شناخته میشود و نقش مهمی در بهبود کیفیت زندگی بیماران ایفا میکند.
نکات کلیدی در ارزیابی وضعیت دندانهای ترمیم شده
در ارزیابی وضعیت دندانهای ترمیم شده، چند نکته کلیدی وجود دارد که باید در نظر گرفته شوند. نخستین نکته این است که بررسیهای منظم باید به صورت دورهای انجام شود. بسته به نوع ترمیم و وضعیت عمومی دندانها، دندانپزشک ممکن است توصیه کند که این ارزیابیها هر شش ماه یا یک سال یکبار صورت گیرد. این نظارت دورهای به تشخیص زودهنگام مشکلات کمک میکند و امکان مداخله به موقع را فراهم میآورد.
نکته دیگر این است که توجه به علائم هشداردهنده از قبیل درد، حساسیت یا تغییر رنگ دندانهای ترمیم شده بسیار مهم است. در صورتی که بیمار این علائم را تجربه کند، باید هر چه سریعتر به دندانپزشک مراجعه کند تا ارزیابی وضعیت دندانهای ترمیم شده انجام شود. همچنین، آموزشهای بهداشتی به بیماران در مورد نحوه مراقبت از دندانهای ترمیم شده و اهمیت رعایت بهداشت دهان میتواند تأثیر زیادی بر سلامت این دندانها داشته باشد.
چگونه ارزیابی وضعیت دندانهای ترمیم شده سلامت دهان را بهبود میبخشد
ارزیابی وضعیت دندانهای ترمیم شده به طرق مختلف میتواند به بهبود سلامت دهان کمک کند. ابتدا، این ارزیابی به شناسایی مشکلات احتمالی در دندانهای ترمیم شده کمک میکند که ممکن است بدون وجود علائم قابل مشاهده بمانند. با استفاده از رادیوگرافی بایت وینگ، دندانپزشکان میتوانند نواقص یا آسیبهای پنهان، مانند پوسیدگی مجدد یا نشتهای بین دندانی را تشخیص دهند. شناسایی زودهنگام این مشکلات میتواند به جلوگیری از پیشرفت بیماری و نیاز به درمانهای پیچیدهتر و پرهزینهتر در آینده کمک کند.
علاوه بر این، ارزیابی وضعیت دندانهای ترمیم شده به دندانپزشکان این امکان را میدهد که وضعیت لثهها و بافتهای نرم اطراف دندانها را نیز بررسی کنند. مشکلات لثهای مانند التهاب یا عفونت میتوانند به شدت بر سلامت دهان تأثیر بگذارند. با شناسایی این مشکلات در مراحل اولیه، دندانپزشک میتواند درمانهای پیشگیرانه و مدیریت مناسبی را پیشنهاد دهد که به حفظ و بهبود سلامت لثهها کمک میکند.
از طرف دیگر، ارزیابی منظم وضعیت دندانهای ترمیم شده به بیماران انگیزه میدهد تا بهداشت دهان و دندان خود را بهتر مدیریت کنند. وقتی بیماران متوجه میشوند که دندانهای ترمیم شده آنها تحت نظر دندانپزشک هستند و به طور مداوم بررسی میشوند، احتمالاً احساس مسئولیت بیشتری در قبال بهداشت دهان و دندان خود پیدا میکنند. این نگرش مثبت به بهبود عادات بهداشتی مانند مسواک زدن منظم، استفاده از نخ دندان و مراجعه منظم به دندانپزشک منجر میشود.
سوالات پرتکرار
1. ارزیابی وضعیت دندانهای ترمیم شده چگونه انجام میشود؟
برای ارزیابی وضعیت دندانهای ترمیم شده، دندانپزشکان معمولاً از رادیوگرافی بایت وینگ استفاده میکنند. این روش شامل قرار دادن فیلم رادیوگرافی در دهان بیمار و گرفتن تصاویر دقیق از دندانها و نواحی اطراف آنها است. این تصاویر به دندانپزشک این امکان را میدهد که به وضوح وضعیت ترمیمها را مشاهده کرده و بررسی کند که آیا نشانههای پوسیدگی یا مشکلات دیگر وجود دارد یا خیر. پس از گرفتن تصاویر، دندانپزشک آنها را تجزیه و تحلیل کرده و بر اساس یافتهها، تصمیمات درمانی لازم را اتخاذ میکند. این فرآیند معمولاً در طی یک ویزیت دندانپزشکی انجام میشود و مدت زمان کمی میبرد.
2. چرا باید وضعیت دندانهای ترمیم شده را ارزیابی کنیم؟
ارزیابی وضعیت دندانهای ترمیم شده از اهمیت زیادی برخوردار است زیرا این دندانها ممکن است در معرض پوسیدگی، عفونت یا آسیبدیدگی قرار گیرند. با گذشت زمان و تحت تأثیر عوامل مختلف مانند بهداشت دهان، نوع رژیم غذایی و فشارهای مکانیکی، ممکن است کیفیت ترمیمها کاهش یابد. بنابراین، نظارت منظم بر این دندانها میتواند به شناسایی مشکلات قبل از تبدیل شدن به مسائل جدی کمک کند. همچنین، ارزیابی وضعیت دندانهای ترمیم شده میتواند از هزینههای بالای درمانهای آینده جلوگیری کند و به حفظ سلامت کلی دهان و دندان بیمار کمک کند.
3. رادیوگرافی بایت وینگ چه مزایایی دارد؟
رادیوگرافی بایت وینگ دارای مزایای متعددی است که آن را به ابزاری مناسب برای ارزیابی وضعیت دندانهای ترمیم شده تبدیل میکند. این نوع رادیوگرافی قادر است تصاویر دقیق و واضحی از دندانها و نواحی اطراف آنها ارائه دهد. این تصاویر به دندانپزشک این امکان را میدهند که مشکلات پنهانی مانند پوسیدگیهای بین دندانی یا نشانههای عفونت را شناسایی کند. همچنین، رادیوگرافی بایت وینگ غیرتهاجمی و سریع است، که باعث میشود بیماران احساس راحتی بیشتری داشته باشند. به علاوه، این روش به دندانپزشکان اجازه میدهد تا تصمیمات درمانی بهتری اتخاذ کنند و بهبود کیفیت خدمات ارائه شده به بیماران را تسهیل میکند.
4. علائم هشداردهنده در وضعیت دندانهای ترمیم شده چیست؟
بیماران باید به چندین علامت هشداردهنده توجه کنند که ممکن است نشاندهنده مشکل در وضعیت دندانهای ترمیم شده باشد. یکی از رایجترین علائم، حساسیت به دما یا فشار است که ممکن است به معنی پوسیدگی یا آسیب به ترمیم باشد. همچنین، تغییر رنگ دندان یا احساس درد در ناحیه دندانهای ترمیم شده نیز باید جدی گرفته شود. در صورتی که بیمار هر یک از این علائم را تجربه کند، باید هر چه سریعتر به دندانپزشک مراجعه کند تا وضعیت دندانهای ترمیم شده مورد ارزیابی قرار گیرد. شناسایی زودهنگام این علائم میتواند به جلوگیری از بروز مشکلات جدی و درمانهای پرهزینه کمک کند.
5. چه مدت بعد از ترمیم دندان باید ارزیابی وضعیت آن انجام شود؟
مدت زمانی که پس از ترمیم دندان باید برای ارزیابی وضعیت آن منتظر بمانید، به نوع ترمیم و وضعیت کلی دندانها بستگی دارد. بهطور کلی، دندانپزشکان توصیه میکنند که ارزیابیهای منظم هر شش ماه تا یک سال یکبار انجام شود. این ارزیابیها به تشخیص زودهنگام مشکلات کمک میکنند و میتوانند به حفظ سلامت دندانهای ترمیم شده و جلوگیری از بروز مشکلات بزرگتر کمک کنند. همچنین، در صورتی که بیمار به تازگی یک ترمیم انجام داده باشد یا علائمی از درد یا حساسیت را تجربه کند، بهتر است زودتر از موعد تعیینشده به دندانپزشک مراجعه کند تا وضعیت دندانهای ترمیم شده به دقت بررسی شود.
جمع بندی
در پایان، ارزیابی وضعیت دندانهای ترمیم شده یک فرایند ضروری است که به حفظ سلامت دهان و دندان شما کمک میکند. با استفاده از رادیوگرافی بایت وینگ، شما میتوانید به تشخیص زودهنگام مشکلات و جلوگیری از بروز مشکلات جدیتر بپردازید. اگر به دنبال مشاوره و درمان تخصصی در این زمینه هستید، میتوانید از خدمات دکتر بوشهری، متخصص رادیولوژی دهان، فک و صورت بهرهمند شوید. ایشان با سالها تجربه و تخصص در زمینه تصویربرداری دندانپزشکی، میتوانند به شما کمک کنند تا با اطمینان و آرامش خاطر به سلامت دندانهای خود بپردازید.
شما میتوانید برای دریافت وقت مشاوره به مرکز تخصصی تصویربرداری ایشان مراجعه کنید. در این مرکز، با استفاده از پیشرفتهترین تکنولوژیها و تجهیزات، بهترین خدمات را به شما ارائه خواهند داد. اگر سوالی برای شما پیش آمد یا نیاز به راهنمایی بیشتری داشتید، میتوانید سوالات خود را در قسمت کامنتها مطرح کنید تا به سرعت به آنها پاسخ داده شود. با ما همراه باشید و سلامت دندانهای خود را به بهترین شکل ممکن حفظ کنید.